23.73°C Bratislava
Saturday, April 25
Flair logo
  • Cestovanie a kultúra
  • Medzi nami
  • Zdravie a krása
  • Bývanie a móda
  • Z kuchyne
  • Investície
  • Lifestyle

Home » artroza

artroza

Liečba artrozy

Liečba Artrózy: Keď kĺby volajú o pomoc

26. mája 2025
Zdravie a krása
by Ivana
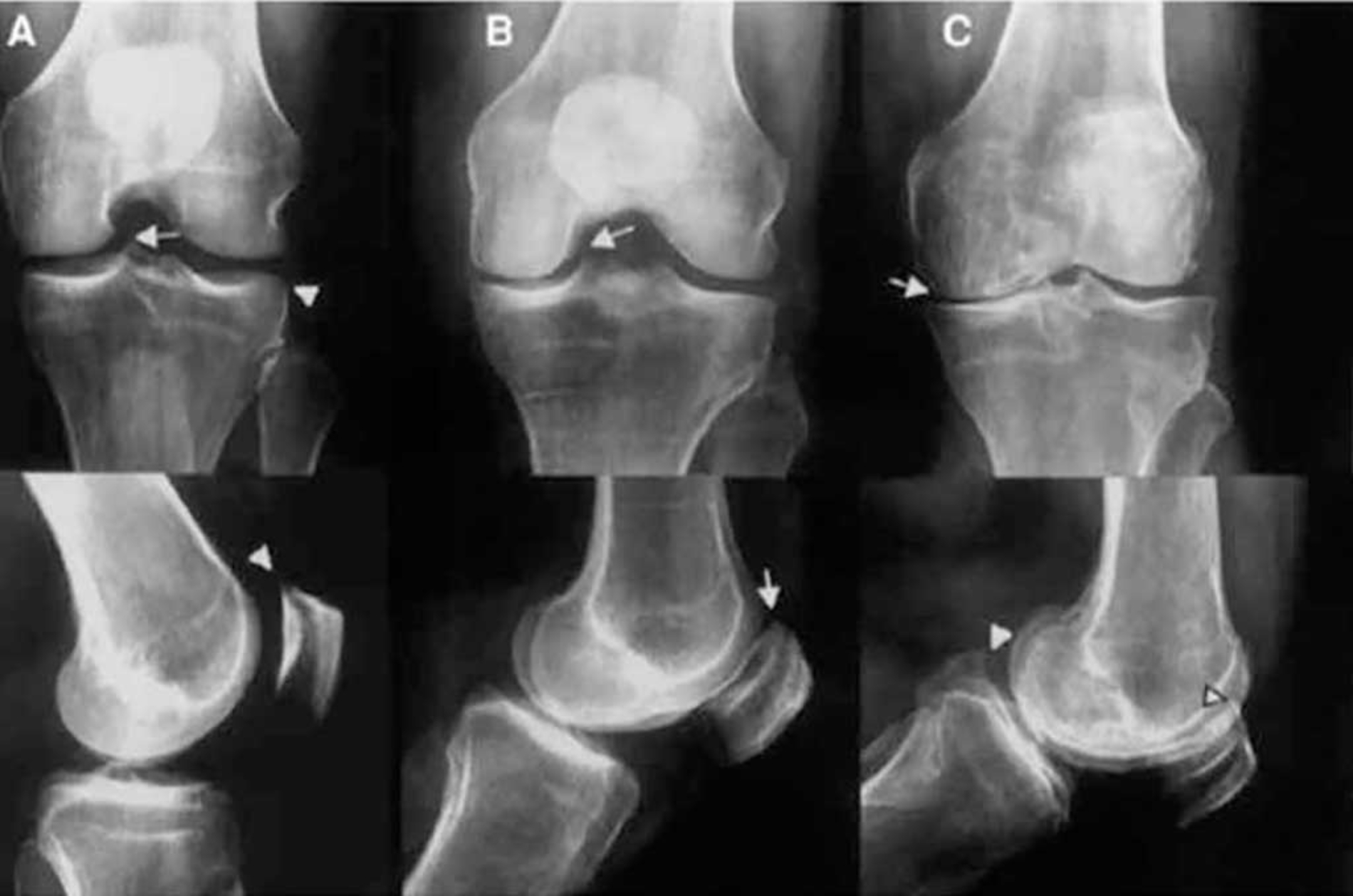
Artróza, známa aj ako osteoartróza, je najčastejším ochorením kĺbov na svete. Na Slovensku ňou podľa odborných odhadov trpí až 15% populácie, u ľudí nad 55 ...
by Ivana

flair logo white

© 2024 flair.maison. All rights reserved.

  • Cestovanie a kultúra
  • Medzi nami
  • Zdravie a krása
  • Bývanie a móda
  • Z kuchyne
  • Investície
  • Lifestyle
Shopping Basket