Artróza, známa aj ako osteoartróza, je najčastejším ochorením kĺbov na svete. Na Slovensku ňou podľa odborných odhadov trpí až 15% populácie, u ľudí nad 55 rokov je to dokonca až 80%. Hoci ju často považujeme za súčasť starnutia, artróza nie je výsadou seniorov. Čoraz častejšie postihuje aj mladších ľudí – športovcov, osoby po úrazoch, ale aj tých, ktorí svojmu telu dlhodobo nedoprajú rovnováhu medzi pohybom a odpočinkom. Liečba artrózy je dôležitou stratégiou pre zvládanie bolestí a zachovanie kvality života.
Čo sa deje v kĺboch pri artróze
Artróza je degeneratívne ochorenie, pri ktorom dochádza k postupnému opotrebovaniu chrupavky. Táto hladká, pružná výstelka zabezpečuje, že kosti v kĺbe sa môžu pohybovať bez trenia. Keď sa však chrupavka stenčuje alebo mizne, vzniká bolesť, zápal a postupná deformácia kĺbu. Liečba artrózy sa často zameriava na spomalenie týchto degeneratívnych zmien. Najčastejšie sú postihnuté kolená, bedrové kĺby, drobné kĺby na rukách, ale aj chrbtica.

Ako spoznať, že ide o artrózu
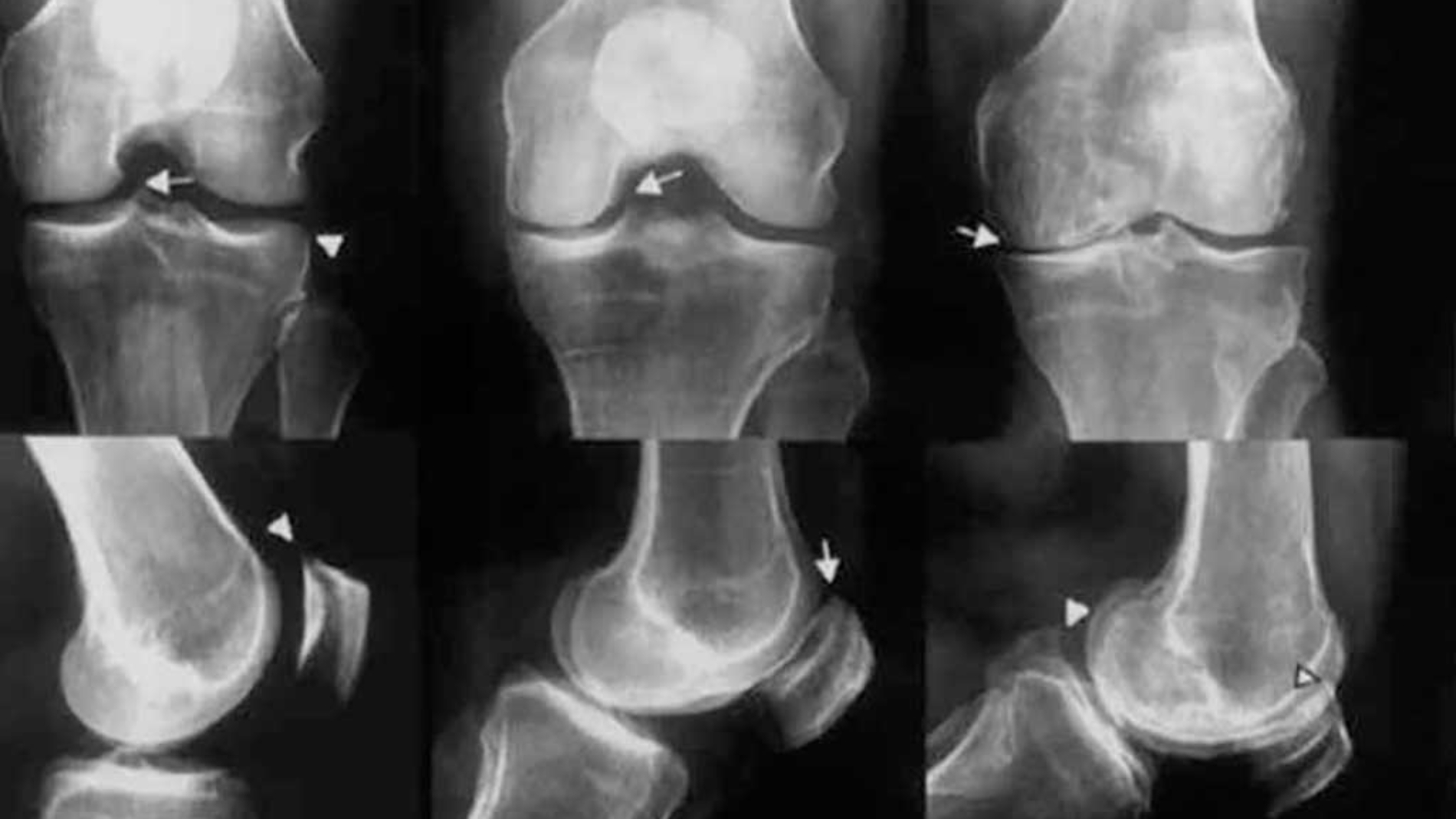
Príznaky sa neobjavia náhle. Mnohí pacienti najprv pociťujú stuhnutosť po prebudení alebo po dlhšom sedení. Nasleduje bolesť pri pohybe, obmedzený rozsah pohybu, opuchy či pocit „zasekávania“ kĺbu. V pokročilých štádiách môže artróza výrazne znížiť kvalitu života a obmedziť samostatnosť. Diagnóza sa potvrdzuje fyzikálnym vyšetrením, röntgenom, prípadne magnetickou rezonanciou. Liečba artrózy sa môže líšiť v závislosti na závažnosti symptómov.
V niektorých prípadoch sa robia aj krvné testy na vylúčenie zápalových reumatických ochorení.
Liečba artrózy, ktorá dáva kĺbom nádej
Hoci artróza sa v súčasnosti nedá úplne vyliečiť, jej priebeh možno výrazne ovplyvniť. Cieľom je zmierniť bolesť, zlepšiť funkčnosť kĺbov a spomaliť degeneratívny proces.
Zmena životného štýlu ako základ
Jedným z najúčinnejších zásahov je úprava životného štýlu. Redukcia telesnej hmotnosti, aj o pár kilogramov, môže výrazne odľahčiť najviac namáhané kĺby. Dôležitá je aj pravidelný, primeraný pohyb – ideálne aktivity s nízkym dopadom na kĺby, ako sú plávanie, bicyklovanie, chôdza, pilates alebo jóga. Liečba artrózy často zahŕňa takéto cvičenia, ktoré stabilizujú kĺby a posilňujú svaly.
Fyzioterapia a rehabilitácia
Individuálne vedená fyzioterapia je kľúčová v každom štádiu ochorenia. Pomáha udržať hybnosť, zlepšiť koordináciu a zároveň zmierniť bolesť. Pri výbere fyzioterapeuta dbajte na recenzie z google, ktoré sú osvedčené. Masáže a zbytočne drahé injekcie niekedy nepomôžu a viac je cielená liečba artrózy.
Lieky a výživové doplnky
Na zmiernenie bolesti sa používajú analgetiká a nesteroidné protizápalové lieky. Pri chronických bolestiach môže lekár odporučiť aj lokálne injekcie s kortikoidmi alebo kyselinou hyalurónovou. Populárne sú aj výživové doplnky s obsahom glukozamínu, chondroitínu či kolagénu. Doplňujúca liečba artrózy sa prejavuje najmä pri dlhodobom užívaní a v počiatočných štádiách ochorenia.
Inovatívne prístupy: MBST terapia
Na Slovensku je už dostupná aj tzv. MBST terapia – neinvazívna metóda využívajúca princípy magnetickej rezonancie na stimuláciu regenerácie chrupavky. Terapia je bezbolestná, bezpečná a podľa dostupných štúdií vykazuje sľubné výsledky, najmä u pacientov v skorších štádiách ochorenia. Inovatívna liečba artrózy môže využívať aj kortikosteroidy či kombináciu kyseliny hyalurónovej a chondroitín sulfátu, čo predstavuje pokrok v terapii tohto ochorenia. Kyselina hyalurónová pôsobí ako „lubrikant„, hydratuje, zlepšuje pohyblivosť kĺbu a zmierňuje bolesť. Chondroitín sulfát má protizápalové účinky a podporuje výživu chrupavky. Klinické štúdie preukázali, že táto kombinácia môže výrazne znížiť hladinu zápalového markera interleukínu-6 (IL-6) v kĺbe, čím sa spomaľuje progresia artrózy a oddiaľuje potreba chirurgického zákroku.
Ďalšou inovatívnou metódou je PRP – biologická liečba artrózy pomocou autológneho krvného derivátu XERTHRA PRF, ktorý sa získava z krvi pacienta. Tento derivát obsahuje vysokú koncentráciu hojivých cytokínov, ktoré po aplikácii do kĺbu pomáhajú eliminovať chronický zápal a podporujú regeneráciu chrupavky. Kombinácia XERTHRA PRF a CHONDRO-HYAL sa ukázala ako účinná v zlepšení funkcie kĺbu a oddialení potreby jeho výmeny.
Tieto moderné prístupy ponúkajú pacientom s artrózou nové možnosti liečby, ktoré môžu zlepšiť kvalitu života a predĺžiť funkčnosť postihnutých kĺbov.
Chirurgické riešenia v závažných prípadoch
Keď už konzervatívna liečba nestačí a kĺb je výrazne poškodený, do úvahy prichádza chirurgická liečba. Môže ísť o artroskopické zákroky (napr. odstránenie poškodených častí chrupavky), osteotómie (úprava osi kĺbu) alebo úplnú náhradu kĺbu – najčastejšie pri bedrových a kolenných kĺboch.
Prevencia: najlepšia investícia do zdravia kĺbov
Prevenciu artrózy netreba podceňovať. Kľúčové je inkluzívna liečba artrózy, ktorá podporuje zdravú hmotnosť, vyhýbanie sa preťažovaniu kĺbov, dopriatie si pravidelného pohybu a regenerácie. Zdravá strava bohatá na antioxidanty, omega-3 mastné kyseliny, vitamíny C, D, K a minerály ako zinok a magnézium môže prispieť k dlhodobému zdraviu kĺbov. Dôležitá je aj správna technika pohybu – najmä pri športe alebo fyzickej práci. A určite nezabúdajte na doplnky výživy pre vaše kĺby – tie overené na trhu vám prinesú nielen pohyb bez bolesti ale oddialia vám čas kedy by malo dôjsť k výmene kĺbu.

Život s artrózou nemusí byť utrpením
Aj keď artróza nie je vyliečiteľná, moderná medicína a zodpovedný prístup k vlastnému telu dokážu výrazne zmierniť jej prejavy. Čím skôr sa ochorenie odhalí a začne sa liečiť artróza, tým väčšia je šanca na zachovanie aktívneho života bez bolesti. Kľúčom je prevencia, pohyb, vedomé rozhodnutia a včasná odborná pomoc.
